
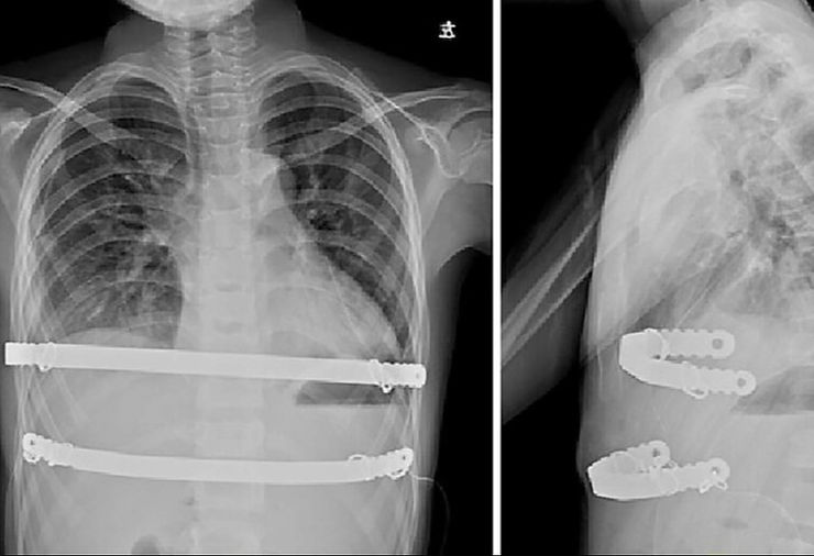
Bars implanted inside the body during the Nuss procedure.
Extensive clinical practice shows that the bars inside the body usually do not cause discomfort to patients, and most patients are hardly aware of their presence.
However, if issues arise with the bar itself or the surrounding tissue, pain and discomfort may occur. In such cases, it is important to identify and address the underlying cause promptly. The main reasons for discomfort include:
1. Improper bar placement: If the bar is not positioned correctly during surgery—for instance, if it doesn’t fit properly against the chest wall, shifts out of place, or presses abnormally against the skin—it can result in localized pain, tissue compression, or inflammation.
2.Bar Contamination: Bars undergo strict sterilization before placement, but if contamination occurs, it can lead to localized inflammation, which may then irritate the surrounding nerves and cause discomfort.
3. External trauma: Since the bars used in chest wall correction surgery are positioned close to the skin’s surface, any significant external force, like a fall or collision, may cause damage to the surrounding tissues, thus resulting in discomfort.
If severe complications arise or the discomfort is extremely intense, early removal of the bars should be considered. Although leaving the bars in the body for 3 years can achieve more ideal shaping effects, the bone shaping is typically completed within 3 months, making early removal a feasible option.